Le blanchiment dentaire est aujourd’hui l’un des traitements esthétiques les plus demandés pour améliorer rapidement l’apparence du sourire. En Turquie, les cliniques dentaires modernes proposent des solutions avancées, sécuritaires et adaptées aux besoins de chaque patient, que ce soit pour un éclaircissement léger ou un résultat beaucoup plus visible. Grâce aux technologies de pointe, à l’expérience des dentistes turcs et à des prix attractifs, le blanchiment dentaire en Turquie s’impose comme une option très recherchée par les patients internationaux.
Dans cet article, nous vous présentons les différentes méthodes de blanchiment disponibles en Turquie, leur déroulement, les résultats que vous pouvez attendre, ainsi que les recommandations post-traitement pour prolonger l’effet “sourire lumineux”.
Pourquoi choisir la Turquie pour un blanchiment dentaire ?
La Turquie est reconnue comme l’une des meilleures destinations mondiales pour les soins dentaires esthétiques. Plusieurs facteurs expliquent cette popularité :
Des technologies modernes
Les cliniques turques utilisent des dispositifs récents comme la lampe LED froide, le laser dentaire ou des gels professionnels hautement efficaces, souvent équivalents ou supérieurs à ceux proposés en Europe.
Des dentistes expérimentés
Les spécialistes turcs se distinguent par leur expertise en esthétique dentaire et leurs protocoles minutieux garantissant des résultats uniformes et naturels.
Des prix très compétitifs
Le blanchiment dentaire en Turquie coûte en moyenne 50 % à 70 % moins cher qu’en Europe ou au Canada, tout en offrant un niveau de qualité élevé.
Un séjour clé en main
Notre agence Prix Chirurgie Turquie organise votre séjour médical :
- rendez-vous en clinique,
- transferts aéroport,
- hôtel,
- accompagnement durant toute la procédure.
Vous profitez ainsi d’une expérience sans stress et d’un suivi complet.
1. Les principales méthodes de blanchiment dentaire en Turquie
Les cliniques en Turquie proposent plusieurs techniques, adaptées à l’intensité des taches et aux attentes de chaque patient.
1.1 Blanchiment dentaire professionnel en cabinet (LED / Laser)
C’est la méthode la plus populaire et la plus efficace pour obtenir un éclaircissement rapide.
Déroulement :
- Nettoyage et polissage des dents
- Application d’un gel blanchissant concentré (peroxyde)
- Activation avec une lampe LED ou un laser
- Plusieurs cycles de 10 à 15 minutes selon l’intensité souhaitée
Avantages :
- Résultat visible immédiatement
- Procédure indolore
- Convient pour les taches liées au café, thé, tabac, vin rouge, etc.
Nombre de séances nécessaires :
1 seule séance suffit la plupart du temps, mais certains patients optent pour 2 séances pour un effet plus intense.
1.2 Blanchiment dentaire interne (sur dents dévitalisées)
Indiqué pour une dent assombrie après un traitement de racine.
Principe :
Un produit blanchissant est placé à l’intérieur de la dent, puis retiré après quelques jours.
Résultat :
La dent retrouve une couleur harmonieuse avec le reste du sourire.
1.3 Blanchiment dentaire ambulatoire avec gouttières
Certaines cliniques proposent des kits professionnels sur-mesure à utiliser chez soi pendant une dizaine de jours.
Déroulement :
- Empreintes en clinique
- Fabrication de gouttières adaptées
- Gel blanchissant à appliquer quotidiennement
Avantages :
- Contrôle progressif de la teinte
- Moins intense que la LED, mais plus durable
1.4 Technique combinée (cabinet + gouttières)
La Turquie propose souvent cette approche « premium » : Blanchiment LED en clinique + Gouttières d’entretien pour prolonger le résultat.
C’est la méthode recommandée pour les patients recherchant un effet longue durée.
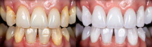
2. Quels résultats attendre d’un blanchiment dentaire en Turquie ?
Les résultats varient selon la couleur initiale des dents, la technique choisie et l’hygiène du patient. Toutefois, la majorité des patients observent :
- Un éclaircissement de 4 à 10 teintes : La différence est visible immédiatement après la séance LED.
- Un sourire plus lumineux, uniforme et naturel
- Une réduction importante des taches profondes : Notamment celles causées par : le café, le thé, le tabac, certains médicaments ainsi que le vieillissement.
- Une amélioration durable
Avec de bonnes habitudes alimentaires et un entretien régulier, le résultat peut durer entre 12 et 24 mois.

3. Combien de temps dure la procédure en Turquie ?
Le blanchiment en cabinet prend en moyenne 45 à 60 minutes.
Pour les traitements combinés, votre séjour peut être légèrement prolongé pour la prise d’empreintes et la récupération des gouttières.
Notre agence adapte votre programme selon la technique choisie et la durée de votre séjour.
4. Effets secondaires possibles
Ils sont rares et généralement temporaires :
- Sensibilité dentaire durant 24 à 48 h
- Irritation légère des gencives
- Assèchement temporaire de l’émail
Ces effets disparaissent rapidement et n’ont pas d’impact sur la santé bucco-dentaire.
5. Conseils après un blanchiment dentaire
Les dentistes turcs recommandent les précautions suivantes pour maximiser la tenue des résultats :
- Éviter pendant 48 h : café, thé, vin rouge, sodas colorés, les épices colorantes (curcuma, curry, etc.) ainsi que le tabac.
- Consommer plutôt : l’eau et les aliments clairs (riz, poulet, pommes, yaourt, etc.)
- Maintenir une hygiène impeccable : brossage 2 à 3 fois par jour, l’utilisation du fil dentaire et le détartrage régulier.
- Utiliser une pâte blancheur douce : Recommandée par la clinique.
6. Pourquoi passer par notre agence Prix Chirurgie Turquie ?
En choisissant notre agence, vous bénéficiez :
- D’un accès aux meilleures cliniques dentaires de Turquie : Nous collaborons avec des centres certifiés, reconnus pour leurs technologies avancées.
- D’un séjour médical organisé de A à Z : Nous prenons en charge la logistique complète.
- De prix négociés et transparents : Avec un excellent rapport qualité/prix.
- D’un accompagnement personnalisé : Avant, pendant et après votre traitement.
Conclusion : un sourire éclatant accessible grâce à la Turquie
Le blanchiment dentaire en Turquie offre une solution rapide, sécuritaire et très abordable pour raviver l’éclat du sourire. Avec des techniques modernes (LED, laser, gouttières sur-mesure) et une expertise reconnue, les patients bénéficient de résultats visibles dès la première séance.
Grâce à l’accompagnement complet de Prix Chirurgie Turquie, vous profitez d’un séjour confortable avec des résultats fiables et naturels.